plak ve vida sahibi yazarlar veri tabanı
başlık "esguli" tarafından 16.01.2022 00:27 tarihinde açılmıştır.
1.
sol diz kapağında 4 vidaya sahip yazar olarak biri benimdir.
istediğim bir durum değildi ama son diz döndürme seferimden sonra sol dizime hiç yüklenemediğim için mecburen ameliyat oldum. ameliyat olmadan önce bu tarz ameliyat deneyimlerini paylaşan çok kişi bulamadığım için çok gergindim. ayrıca ameliyat bittiğinde de ne olacağını hiç bilmiyordum. bu yüzden deneyimimi paylaşmak istedim. diğer arkadaşlar da paylaşırsa peşimizden gelenlere destek vermiş oluruz.
ilk şokum bacağımın tamamının alçıya alındığını fark etmek oldu, bunu sanırım dizimi kırmamı en net şekilde engellemek için yaptılar. sonrasında ağrılı bir üç günün üstüne yerimden kalkıp yürüyebildim, tabi yürüteç eşliğinde. bu safhada her şey çok hızlı geçecek gibi hissediyordum derken 10 gün boyunca asla sağ veya sola dönemeden uyumak zorunda kaldım, ne kadar rahatsız edici olduğunu tahmin edebilirsiniz. bir süre kan sulandırıcı ve varis çorabıyla da uğraştıktan sonra her şey yavaş yavaş düzelmeye başladı. ama yine de her şeyin eskisi gibi olması bir yıla yakın sürdü. ameliyattan sonra fark ettiğim bir şey de spor yapmanın dizimi güçlendirdiği oldu. aman squat çekmeyeyim bir şey olur şimdi diye düşünme, aksine dizini güçlendirmek için çok yardımcı oluyor. son olarak da en büyük tatsızlığımı söylemek istiyorum; vidanın yarattığı çıkıntı dışardan belli oluyor, yapacak bir şey maalesef yok.
istediğim bir durum değildi ama son diz döndürme seferimden sonra sol dizime hiç yüklenemediğim için mecburen ameliyat oldum. ameliyat olmadan önce bu tarz ameliyat deneyimlerini paylaşan çok kişi bulamadığım için çok gergindim. ayrıca ameliyat bittiğinde de ne olacağını hiç bilmiyordum. bu yüzden deneyimimi paylaşmak istedim. diğer arkadaşlar da paylaşırsa peşimizden gelenlere destek vermiş oluruz.
ilk şokum bacağımın tamamının alçıya alındığını fark etmek oldu, bunu sanırım dizimi kırmamı en net şekilde engellemek için yaptılar. sonrasında ağrılı bir üç günün üstüne yerimden kalkıp yürüyebildim, tabi yürüteç eşliğinde. bu safhada her şey çok hızlı geçecek gibi hissediyordum derken 10 gün boyunca asla sağ veya sola dönemeden uyumak zorunda kaldım, ne kadar rahatsız edici olduğunu tahmin edebilirsiniz. bir süre kan sulandırıcı ve varis çorabıyla da uğraştıktan sonra her şey yavaş yavaş düzelmeye başladı. ama yine de her şeyin eskisi gibi olması bir yıla yakın sürdü. ameliyattan sonra fark ettiğim bir şey de spor yapmanın dizimi güçlendirdiği oldu. aman squat çekmeyeyim bir şey olur şimdi diye düşünme, aksine dizini güçlendirmek için çok yardımcı oluyor. son olarak da en büyük tatsızlığımı söylemek istiyorum; vidanın yarattığı çıkıntı dışardan belli oluyor, yapacak bir şey maalesef yok.
devamını gör...
2.
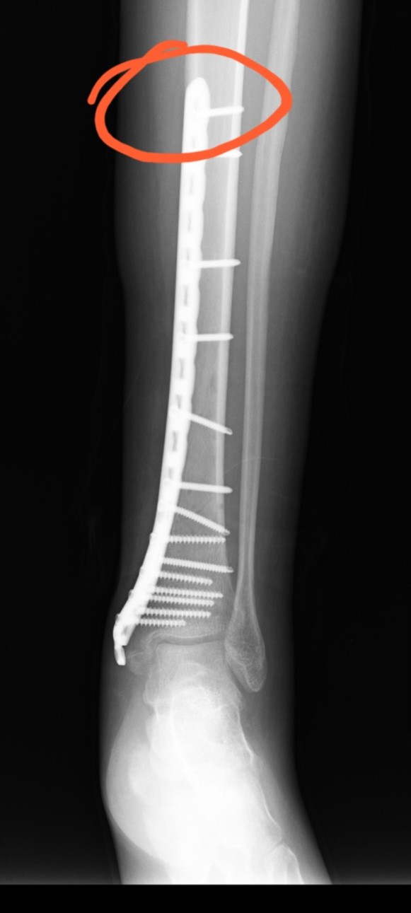
eskiden bendim şu anda da 1 vidam var gerçi, 1 hafta önce çıkardılar ameliyat ile ama 14 tane vida olunca bir tanesi kırılıp içeride kaldı, bilek kısmında idi sanırım öyle demişlerdi. bakalım o sorun çıkaracak gibi durmuyor lakin şu an eskiden plak olan (plağın üst kısmının ucu) yerdeki dokular iyileşme sürecine girdi herhalde.
şurası

garip bir sızı ve ağrı karışımı bir hissi var.
tam bu bölge yüksekten inerken kendini hissetiriyordu, bilek kısmındakiler rahatsız etmiyordu zaten, en üstü ediyordu genelde.bakalım dikişler çıkıp yürüyünce inşallah çıkmış diyeceğim umarım.
şurası

garip bir sızı ve ağrı karışımı bir hissi var.
tam bu bölge yüksekten inerken kendini hissetiriyordu, bilek kısmındakiler rahatsız etmiyordu zaten, en üstü ediyordu genelde.bakalım dikişler çıkıp yürüyünce inşallah çıkmış diyeceğim umarım.
devamını gör...
3.
plak sevmiyorum ama bir çanta dolusu vidam var. çeşit çeşit.
devamını gör...