1.
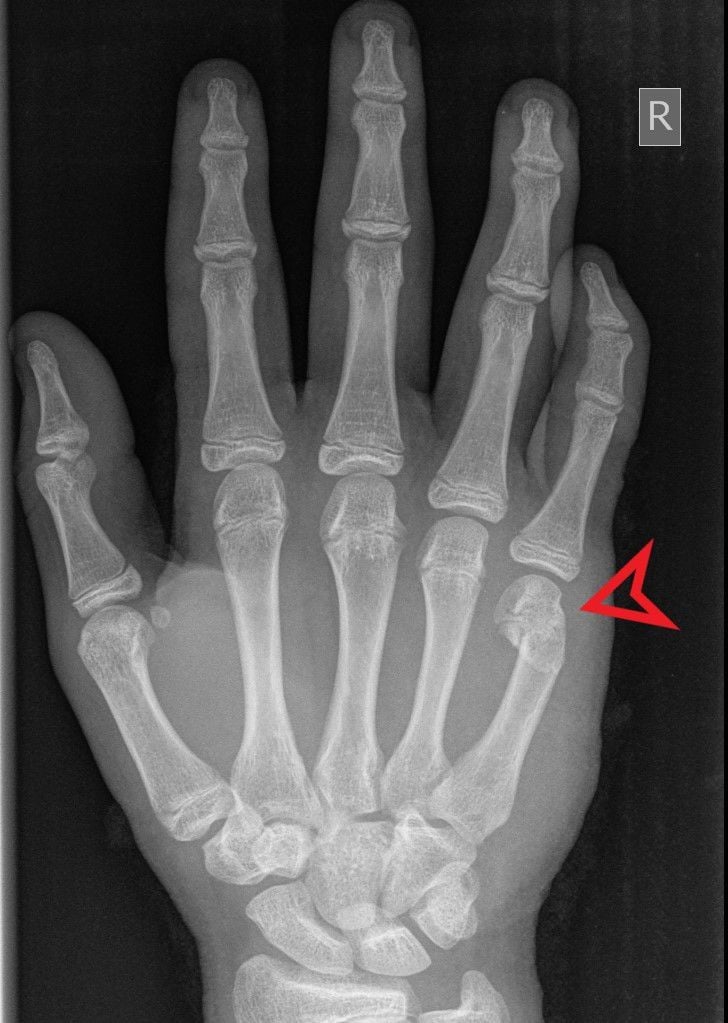
boks esnasında çoğunlukla yumruğunu gevşek tutması sonucu oluşan kırıktır.
4. ve 5. metakarp ( son iki parmak) boyun kırığıdır.
4. ve 5. metakarp ( son iki parmak) boyun kırığıdır.
devamını gör...
2.
3.
bir bu, iki de burun kırılması. boks izlemeyi ne kadar sevsem ve hobi olarak bir kursa gitmeyi düşünsem de bunlardan biri muhakkak başıma gelir diye asla başlamayacağım. boks hayatımı başlamadan bitiren kırıklardan biri.
devamını gör...
4.
anın sıcaklığı ile hissedilmeyen fakat sonrasında şişerek kendini belli eden acemi işi kırıktır.
kendi kemiğini kıran yumruk vurduğu yeri ne hale getirir diye düşünen varsa düşünmesin, ortalama iki aylık tatlış bir alçı süreci, sonrasındaki fizik tedavi ve falan filan her şeyi unutturur.
kendi kemiğini kıran yumruk vurduğu yeri ne hale getirir diye düşünen varsa düşünmesin, ortalama iki aylık tatlış bir alçı süreci, sonrasındaki fizik tedavi ve falan filan her şeyi unutturur.
devamını gör...

