zaman tüneli
pamuk prenses arayan erkek
kendisi evde tek başına yaşarken ortam yedi cücelerin maden ocağından daha dağınık olan erkektir.
sandalyede mont, yerde çorap, mutfakta dünün tabağı, kumanda koltuğun içinde kaybolmuş,küllük ağzına kadar sigara izmariti dolmuş ama beklenti büyük.
hayatına girecek kadın hem pamuk prenses gibi güzel olacak, hem anlayışlı olacak, hem evi çekip çevirecek, hem de ona bakacak.
kardeşim sen daha ayağından çıkardığın kirli çorabı alıp kirli sepetine atmayan adamsın. "hayda rinna rinanay" diyerek böyle deli yürek tiplerine girmene gerek var mı? sen önce bir pamuk prensesi bırak, cücelerin temizlik disiplinine ulaş bence. masalda bile kız gelmeden önce cüceler evi toparlıyordu. sen de en azından o sandalyenin üzerindeki ceketini alıp askiya takabilirsin. milletin erkekleri fevkaladenin fevkinde gezeken bizimkiler hala “anahtarımı gören oldu mu?” seviyesinde yaşıyor. yazık!
sandalyede mont, yerde çorap, mutfakta dünün tabağı, kumanda koltuğun içinde kaybolmuş,küllük ağzına kadar sigara izmariti dolmuş ama beklenti büyük.
hayatına girecek kadın hem pamuk prenses gibi güzel olacak, hem anlayışlı olacak, hem evi çekip çevirecek, hem de ona bakacak.
kardeşim sen daha ayağından çıkardığın kirli çorabı alıp kirli sepetine atmayan adamsın. "hayda rinna rinanay" diyerek böyle deli yürek tiplerine girmene gerek var mı? sen önce bir pamuk prensesi bırak, cücelerin temizlik disiplinine ulaş bence. masalda bile kız gelmeden önce cüceler evi toparlıyordu. sen de en azından o sandalyenin üzerindeki ceketini alıp askiya takabilirsin. milletin erkekleri fevkaladenin fevkinde gezeken bizimkiler hala “anahtarımı gören oldu mu?” seviyesinde yaşıyor. yazık!
devamını gör...
whisper (yazar)
omurgası olan bir yazar.
fikirleri bu çağ için kıymetli.
varlığı daim olsun.
fikirleri bu çağ için kıymetli.
varlığı daim olsun.
devamını gör...
attığın taş ürküttüğün kuşa değsin
dövme yaptırmak istediğim hayat mottosu olabilecek güzellikte bir söz
devamını gör...
jojo’s bizarre adventure: steel ball run
bir haftaya başlıyor. çok heyecanlıyım sözlük. uzun zamandır hiçbir şeyi bu kadar çok beklememiştim .
devamını gör...
sözlük yazarlarının bugün hissettikleri
her şeyin bittiği yerdeyim. ne maddi, ne manevi hiçbir dayanağım kalmadı. kalmadı dediysem de cidden kalmadı. konserler sürekli iptal edildi durdu, borcuydu harcıydı aldı başını gitti. ne yapacağım konusunda hiçbir fikrim yok. öyle duruyorum sadece. hiçbir şeye yetişemiyorum. saçma sapan işler yapmaya çalıştım, onlar da tutmadı. olmuyo olm. hiçbir şey yürümüyo lan.
devamını gör...
attığın taş ürküttüğün kuşa değsin
biz bu varyantını biliyoruz, ayrıca leş- kargalarını ürkütmek idi kastımız!.
devamını gör...
bir beğeni bizi mutlu eder
bayadir sozlukteyim ilk defa bu kadar açık beğeni ve fav isteği gördüm takdir ettim, ayağa kalktım saygı duruşuna geçtim. şimdi bütün profili beğenip favlicam
devamını gör...
kennedy sınıflandırması
kennedy sınıflandırması; diş protezinde, özellikle hareketli bölümlü protezin parsiyel protez planlamasında kullanılan en önemli sınıflandırma sistemlerinden biridir.
bir ağızda bazı dişler çekildiğinde boşluklar (edentulous spaces) oluşur.
kennedy sistemi bu boşlukların yerine ve sayısına bakarak ağızları 4 ana sınıfa ayırır..
bu sınıflandırmayı 1925 yıllarında, edward kennedy geliştirmiştir ve sonra applegate bazı kurallar ekleyerek sistemi daha net hale getirmiştir.
peki amacı nedir bu sınıflandırmanın?
-parsiyel* protez planlamasını standartlaştırmak
-dişsiz alanın yerine göre protez tipini belirlemek ve tedaviyi ona göre planlamak
-destek tipini belirlemek (diş destekli / diş-doku destekli)
-kroşe* ve ana bağlayıcıyı planlamak
-stabilite ve retansiyon* sağlamak
bu sınıflandırma yapılırken en arka dişsiz boşluk baz alınır. ve 4 temel sınıf vardır.
görsel olarak şöyle,

class ı: her iki tarafta da dişlerin eksik olmasıdır. önde dişler var. sağ arka diş yok, sol arka diş yok. paralel de diyebiliriz.
class ıı: tek tarafl dişler yok. önde dişler var. sağ arka tarafta dişler yok. sol arka tarafta dişler var. veya bunun tam tersi. sağda var solda yok gibi.
class ııı: eksik diş, iki sağlam diş arasında bulunur. yani boşluğun önünde diş var, boşluğun arkasında diş var.
class ıv: ön dişler eksiktir ve sağ-sol arka dişler vardır. boşluk tek parçadır.
bunlara ek olarak modifikasyon vardır. modifikasyon boşluk anlamına gelir. yani tabii ki her ağız birebir bu sınıflandırmalara uymaz. böyle durumlarda da modlarla bilgi verilir. örneğin ağız, kennedy sınıf 3 ama iki boşluk daha var. bunu da kennedy sınıf 3 mod 2 olarak tanımlayabiliriz.
sınıf 1, sınıf 2 ve sınıf 3'te modifikasyon olabilir ama sınıf 4'te modifikasyon olmaz.
genel olarak kennedy sınıflandırmasını bu şekilde özetleyebiliriz. bazı ayrıntılar daha var tabii ki ama yüzeysel olarak bu yeterli.
birkaç görsel daha bulup ekliyorum kafanızda biraz canlanması için.
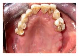
kennedy 1 gerçek ağız içi görüntü
(b: kennedy 2)

(b: kennedy 3)

(b: kennedy 4)
bir ağızda bazı dişler çekildiğinde boşluklar (edentulous spaces) oluşur.
kennedy sistemi bu boşlukların yerine ve sayısına bakarak ağızları 4 ana sınıfa ayırır..
bu sınıflandırmayı 1925 yıllarında, edward kennedy geliştirmiştir ve sonra applegate bazı kurallar ekleyerek sistemi daha net hale getirmiştir.
peki amacı nedir bu sınıflandırmanın?
-parsiyel* protez planlamasını standartlaştırmak
-dişsiz alanın yerine göre protez tipini belirlemek ve tedaviyi ona göre planlamak
-destek tipini belirlemek (diş destekli / diş-doku destekli)
-kroşe* ve ana bağlayıcıyı planlamak
-stabilite ve retansiyon* sağlamak
bu sınıflandırma yapılırken en arka dişsiz boşluk baz alınır. ve 4 temel sınıf vardır.
görsel olarak şöyle,

class ı: her iki tarafta da dişlerin eksik olmasıdır. önde dişler var. sağ arka diş yok, sol arka diş yok. paralel de diyebiliriz.
class ıı: tek tarafl dişler yok. önde dişler var. sağ arka tarafta dişler yok. sol arka tarafta dişler var. veya bunun tam tersi. sağda var solda yok gibi.
class ııı: eksik diş, iki sağlam diş arasında bulunur. yani boşluğun önünde diş var, boşluğun arkasında diş var.
class ıv: ön dişler eksiktir ve sağ-sol arka dişler vardır. boşluk tek parçadır.
bunlara ek olarak modifikasyon vardır. modifikasyon boşluk anlamına gelir. yani tabii ki her ağız birebir bu sınıflandırmalara uymaz. böyle durumlarda da modlarla bilgi verilir. örneğin ağız, kennedy sınıf 3 ama iki boşluk daha var. bunu da kennedy sınıf 3 mod 2 olarak tanımlayabiliriz.
sınıf 1, sınıf 2 ve sınıf 3'te modifikasyon olabilir ama sınıf 4'te modifikasyon olmaz.
genel olarak kennedy sınıflandırmasını bu şekilde özetleyebiliriz. bazı ayrıntılar daha var tabii ki ama yüzeysel olarak bu yeterli.
birkaç görsel daha bulup ekliyorum kafanızda biraz canlanması için.
kennedy 1 gerçek ağız içi görüntü
(b: kennedy 2)

(b: kennedy 3)

(b: kennedy 4)
devamını gör...
bir beğeni bizi mutlu eder
fav ilavesi ise katmerlendirir.
devamını gör...
erkekler hakkında net gerçekler
seni seviyorsa anlarsın, sevmiyorsa kafan karışır.
devamını gör...
berserk (manga)
şunun animesinin müziklerini yapan kişiyi bulup elini öpmek istiyorum. bu nasıl bir şaheser böyle… gözümü kapatıp uzun uzun dinliyorum bazen. gavurların tabiriyle o kadar otherworldly bir albüm ki, inanılmaz…
devamını gör...
galatasaray'ın liverpool'u eleme ihtimali
okan takımı defans yapması için saha çıkarıp kısa pasla oynatacak.
kısa pasla oynayan takım ileri çıkamayacak.
forvetler top alsa bile 80m ileri koşmak zorunda kaldığı için 20. dakikadan sonra kesilecek ve oyun tek kale futbola dönecek. gsnin talihi yaverse 2-0 yenilir. talihi makus ise 6-0...
eeeee terimin öğrencisi...
maç sonu okanın açıklamasını da yazayım. yerli fitbolcular kalitesiz, 10. dakkadaki top kaleyi bulsaydı farklı şeyler konuşacaktı.
kısa pasla oynayan takım ileri çıkamayacak.
forvetler top alsa bile 80m ileri koşmak zorunda kaldığı için 20. dakikadan sonra kesilecek ve oyun tek kale futbola dönecek. gsnin talihi yaverse 2-0 yenilir. talihi makus ise 6-0...
eeeee terimin öğrencisi...
maç sonu okanın açıklamasını da yazayım. yerli fitbolcular kalitesiz, 10. dakkadaki top kaleyi bulsaydı farklı şeyler konuşacaktı.
devamını gör...
erkekler hakkında net gerçekler
çoğunlukla kadınlar tartışmalarda haksizsiniz sırf konu uzamasin diye özür diliyoruz
devamını gör...
türkiye cumhuriyeti'nin altın yılları
ekonomik, siyasal, askeri ve toplumsal barış açısından türkiye cumhuriyeti'nin nispeten müreffeh, sorunların çözülme yolunda adımların atıldığı dönemler tartışmalı olsa da bugüne kadar yaptığım okumalar ve izlediğim belgesellerin ışığında cumhuriyet tarihimizde 3 altın dönem olduğunu söyleyebilirim.
1- birinci menderes hükümeti devri 1950-1954. 27 senelik tek parti ve tek adam diktatörlüğünden sonra ilk kez halk, kendi iradesi almış. türk tarihinde görülmemiş bir olay. iyi eğitimli kısmen kentli ama kırsalın nabzını da iyi tutan, anadolu delegesinin kalbi olduğu atılımcı, enerjik bir parti. başında ruhani lider konumunda cumhuriyetin kurucu kadrosunda celal bayar ve onun seçtiği karizmatik, halka yakın lider adnan menderes. amerikan ve batının sıcak bakıp, marshall yardımlarıyla desteklediği bir hükümet. tamamen ümitvar bir ortam var. bu devre aşağı yukarı 1956'ya kadar böyle gidecektir.
2- birinci süleyman demirel hükümeti 1965-1969. 1960 ihtilali ve onun ardından esen sert fırtınadan, darbe girişimlerinden ve koalisyon hükümetlerin sonra demokrat parti'nin devamı olan adalet partisi'nin genç lideri etrafında toparlanarak hlkın teveccühünü kazanması ve iktidara yürümesi. bir yandan menderes'i asan darbecile zihniyetin sallandırdığı demokles'in kılıcı, bir yandan da 1961 anayasası'nın sağladığı zengin demokratik ortamdan ötürü filizlenen sol hareketin radikal bir çizgiye doğru evrilmesine rağmen atılımlarla dolu bir dört yıl. bilhassa nüfusun neredeyse o zamanlar yüzde 70'ini oluşturan anadolu köylüsünün teveccühüne mazhar olmuş bir adalet partisi.
3- akp'nin ilk 10 yılı. 2002-2012: koalisyonlarla ve saçma sapan arayışlarla geçmiş 90'ların kaos, terör ve iç kargaşa dolu zamanlarından sonra abd'nin türkiye2de kemalizmi ve geleneksel anlamda laikliği tasviye edeceği belliydi. tüm yerleşik kalıpların manipülasyonlarına ve askerlerden tut, statükocuların provokasyonlarına rağmen ( 7 nisan e-muhtıra, hrant dink suikasti, malatya kitabevi cinayeti ) kalıpları yıkmaya çalışan bir akp ve onun kararlı lideri etrafında kümelenmiş islamcı siyasetten gelen önemli isimler. dünyada obama dönemiyle beraber dolar salınımının artması neticesinde, paramızdan altı sıfır da atılmasıyla döviz ve türk lirasının eşitlenmesi, müreffeh ve herkesin kredi alabilip, ödeyebildiği, insanların sokakta rahatça gezip tozduğu, terörün sıfıra yakın olduğu bir dönem. türkiye'nin inaçlarıyla barıştığı, sivil, katılımcı ve demokratik bir siyasetin hüküm sürdüğü bir periyot. öte yandan fethullahçılara verilen taviz ve bu çıkar amaçlı suç grubunun kılcal damarlara nüfuz etmesiyle beraber sonradan büyük gaileler açılacağından habersiz bir ak parti yönetimi. yine de söz konusu 10 yıl, bizim geleceğe ümitle baktığımız kısmen mesut yaşadığımız senelerdi. suriye savaşı ve pkk'nın kıpırdanmasıyla her şey alt üst olacaktı.
1- birinci menderes hükümeti devri 1950-1954. 27 senelik tek parti ve tek adam diktatörlüğünden sonra ilk kez halk, kendi iradesi almış. türk tarihinde görülmemiş bir olay. iyi eğitimli kısmen kentli ama kırsalın nabzını da iyi tutan, anadolu delegesinin kalbi olduğu atılımcı, enerjik bir parti. başında ruhani lider konumunda cumhuriyetin kurucu kadrosunda celal bayar ve onun seçtiği karizmatik, halka yakın lider adnan menderes. amerikan ve batının sıcak bakıp, marshall yardımlarıyla desteklediği bir hükümet. tamamen ümitvar bir ortam var. bu devre aşağı yukarı 1956'ya kadar böyle gidecektir.
2- birinci süleyman demirel hükümeti 1965-1969. 1960 ihtilali ve onun ardından esen sert fırtınadan, darbe girişimlerinden ve koalisyon hükümetlerin sonra demokrat parti'nin devamı olan adalet partisi'nin genç lideri etrafında toparlanarak hlkın teveccühünü kazanması ve iktidara yürümesi. bir yandan menderes'i asan darbecile zihniyetin sallandırdığı demokles'in kılıcı, bir yandan da 1961 anayasası'nın sağladığı zengin demokratik ortamdan ötürü filizlenen sol hareketin radikal bir çizgiye doğru evrilmesine rağmen atılımlarla dolu bir dört yıl. bilhassa nüfusun neredeyse o zamanlar yüzde 70'ini oluşturan anadolu köylüsünün teveccühüne mazhar olmuş bir adalet partisi.
3- akp'nin ilk 10 yılı. 2002-2012: koalisyonlarla ve saçma sapan arayışlarla geçmiş 90'ların kaos, terör ve iç kargaşa dolu zamanlarından sonra abd'nin türkiye2de kemalizmi ve geleneksel anlamda laikliği tasviye edeceği belliydi. tüm yerleşik kalıpların manipülasyonlarına ve askerlerden tut, statükocuların provokasyonlarına rağmen ( 7 nisan e-muhtıra, hrant dink suikasti, malatya kitabevi cinayeti ) kalıpları yıkmaya çalışan bir akp ve onun kararlı lideri etrafında kümelenmiş islamcı siyasetten gelen önemli isimler. dünyada obama dönemiyle beraber dolar salınımının artması neticesinde, paramızdan altı sıfır da atılmasıyla döviz ve türk lirasının eşitlenmesi, müreffeh ve herkesin kredi alabilip, ödeyebildiği, insanların sokakta rahatça gezip tozduğu, terörün sıfıra yakın olduğu bir dönem. türkiye'nin inaçlarıyla barıştığı, sivil, katılımcı ve demokratik bir siyasetin hüküm sürdüğü bir periyot. öte yandan fethullahçılara verilen taviz ve bu çıkar amaçlı suç grubunun kılcal damarlara nüfuz etmesiyle beraber sonradan büyük gaileler açılacağından habersiz bir ak parti yönetimi. yine de söz konusu 10 yıl, bizim geleceğe ümitle baktığımız kısmen mesut yaşadığımız senelerdi. suriye savaşı ve pkk'nın kıpırdanmasıyla her şey alt üst olacaktı.
devamını gör...






